「电子果蝇」惊动马斯克!背后是13万神经元全脑图谱,可在电脑上运行
本篇文章给大家分享《「电子果蝇」惊动马斯克!背后是13万神经元全脑图谱,可在电脑上运行》,覆盖了科技周边的常见基础知识,其实一个语言的全部知识点一篇文章是不可能说完的,但希望通过这些问题,让读者对自己的掌握程度有一定的认识(B 数),从而弥补自己的不足,更好的掌握它。
脑科学研究又进一大步!
来自普林斯顿的科学家最新宣布,他们已经成功创建了首个成年体动物的全脑连接体图谱。
其中包含来自雌性黑腹果蝇大脑的130000个带注释的神经元,以及它们之间的数千万个化学突触。

更重要的是,数据是完全开放的,还能一键查询。
只需要在Codex这个网站上输入相关信息,每个神经元的连接性、大小、神经递质等信息都能尽收眼底。
图片
包括直观的3D模型。
图片
这项研究一经发布,就吸引到大量关注。
图片
英伟达AI科学家范麟熙(Jim Fan)就转发点赞:
令人着迷的是,普林斯顿大学的这项研究中,蕴含着大自然的注意力、工作记忆甚至基本意识算法。
将神经连接体视作已编译的可执行二进制文件,我们可以从完整的大脑模拟中反编译出多少源代码?
图片
不仅如此,果蝇的大脑结构还对机器学习有着重要启发。
已经有人在电脑上跑了一下这个模型,模拟了果蝇吃东西和梳理触角的过程。
图片
马斯克也关注到了这只“电子果蝇”,并感觉事情开始变得奇怪起来了。
图片
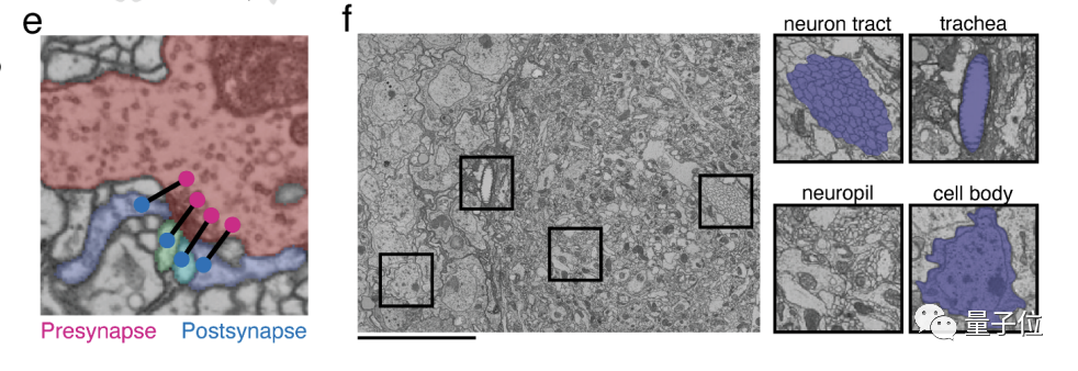
通过电镜图像绘制
研究团队重建了雌性黑腹果蝇大脑完整连接体图谱。
不同于传统的切片方式,图谱中的信息主要是从电镜照片中获得的。
这些电镜照片来自Zheng和Lauritzen等人于2018年发布的FAFB(full adult fly brain)数据集。
电镜照片的分辨率可以清晰地看到蛋白质分子,经过计算机分析就能得出有关信息。
尺寸仅为0.1毫米量级的果蝇大脑拥有上亿个突触,比哺乳动物的突触还要密集。
图片
果蝇大脑中的神经被分成9个大类、31个小类,划分了78个区域。
图片
这九个大类是在将神经元按照信息流向分为三个部分的基础上继续划分得到的。
图片
通过与光学显微镜下的神经结构进行对比,团队建立的模型准确性得到了初步验证。
进一步地,数值计算和人工抽样检查结果也证明了模型是准确的。
此外,通过统计学分析,团队还对神经元之间的神经递质成分进行了预测,且准确率很高。
研究团队还分析了果蝇眼部的神经回路,追踪了信息流从输入神经元到输出神经元传递的过程。
尽管输入和输出神经元的数量在神经系统中占据的比重很小,但它们是沟通大脑和外界的桥梁。
在这一过程中,团队使用了一种概率模型,分析从种子神经元开始的信息流。
图片
团队针对每一个种子神经元进行了遍历,测量了信息传到神经中枢再到传出神经的过程。
遍历过程中信息传递所经过的距离被排序,然后进行归一化处理。
这一过程帮助研究人员确定了不同类型的传入信息是如何向相对应的神经中枢传递的,结果与预期相吻合。
图片
花费4年时间打造
值得一提的是,从成年果蝇完整大脑数据(FAFB)到完整构建出成年果蝇的大脑图谱,研究人员一共花费了194周,也就是4年左右的时间。
图片
而在此背后,这个名为FlyWire的项目得到了超过200名社区成员的贡献支持。
根据官网信息,FlyWire是一个人工智能与人类合作的项目,旨在重建果蝇的全脑连接体。具体而言,FlyWire由普林斯顿大学的Mala Murthy和Sebastian Seung实验室创建,社区由神经生物学家、计算机科学家和校对人员组成。
通过将神经元连接和大脑功能联系起来,我们可以在理解大脑如何工作这件事上取得重大进展。
图片
论文地址:
[1]https://www.biorxiv.org/content/10.1101/2023.06.27.546656v1.full.pdf[2]https://www.biorxiv.org/content/10.1101/2023.06.27.546055v1.full.pdf[3]https://www.biorxiv.org/content/10.1101/2023.05.02.539144v1.full.pdf
文中关于AI,项目,协作的知识介绍,希望对你的学习有所帮助!若是受益匪浅,那就动动鼠标收藏这篇《「电子果蝇」惊动马斯克!背后是13万神经元全脑图谱,可在电脑上运行》文章吧,也可关注golang学习网公众号了解相关技术文章。
win7显示器刷新率设定方式
- 上一篇
- win7显示器刷新率设定方式
- 下一篇
- 荣耀Magic6:巨犀玻璃、IP68防水 全新体验即将到来
-
- 科技周边 · 人工智能 | 1小时前 |
- AI时代卡皮巴拉就业影响与应对策略
- 168浏览 收藏
-
- 科技周边 · 人工智能 | 1小时前 | Hermes Agent HermesAgent
- HermesAgent社区在哪?用户交流论坛推荐
- 107浏览 收藏
-
- 科技周边 · 人工智能 | 1小时前 | Llama 3
- Llama3虚拟机PCIe直通失败解决方法
- 354浏览 收藏
-
- 科技周边 · 人工智能 | 1小时前 | KimiChat kimichat官网
- Kimichat官网入口及访问方式汇总
- 271浏览 收藏
-
- 科技周边 · 人工智能 | 1小时前 |
- Lumen5制作AI动画视频技巧解析
- 282浏览 收藏
-
- 科技周边 · 人工智能 | 1小时前 | CanvaAI Canva可画
- Canva转PPT教程:格式转换全攻略
- 152浏览 收藏
-
- 科技周边 · 人工智能 | 2小时前 | 夸克AI 夸克AI大模型
- 夸克AI如何找行业研报?实用搜索技巧分享
- 482浏览 收藏
-
- 科技周边 · 人工智能 | 2小时前 | openclaw
- OpenClaw终极版:打造全能个人系统
- 182浏览 收藏
-
- 科技周边 · 人工智能 | 2小时前 |
- 本地大模型显存占用对比(7B/14B/72B)
- 491浏览 收藏
-
- 科技周边 · 人工智能 | 2小时前 |
- DeepSeek降重技巧与文章优化方法
- 492浏览 收藏
-
- 科技周边 · 人工智能 | 2小时前 | CodeGeeX CodeGeeX如何生成Python代码完整教程
- CodeGeeX实现链表、栈与队列指南
- 404浏览 收藏
-
- 科技周边 · 人工智能 | 3小时前 |
- DeepSeekV4生成Mermaid图表教程
- 116浏览 收藏
-
- 前端进阶之JavaScript设计模式
- 设计模式是开发人员在软件开发过程中面临一般问题时的解决方案,代表了最佳的实践。本课程的主打内容包括JS常见设计模式以及具体应用场景,打造一站式知识长龙服务,适合有JS基础的同学学习。
- 543次学习
-
- GO语言核心编程课程
- 本课程采用真实案例,全面具体可落地,从理论到实践,一步一步将GO核心编程技术、编程思想、底层实现融会贯通,使学习者贴近时代脉搏,做IT互联网时代的弄潮儿。
- 516次学习
-
- 简单聊聊mysql8与网络通信
- 如有问题加微信:Le-studyg;在课程中,我们将首先介绍MySQL8的新特性,包括性能优化、安全增强、新数据类型等,帮助学生快速熟悉MySQL8的最新功能。接着,我们将深入解析MySQL的网络通信机制,包括协议、连接管理、数据传输等,让
- 500次学习
-
- JavaScript正则表达式基础与实战
- 在任何一门编程语言中,正则表达式,都是一项重要的知识,它提供了高效的字符串匹配与捕获机制,可以极大的简化程序设计。
- 487次学习
-
- 从零制作响应式网站—Grid布局
- 本系列教程将展示从零制作一个假想的网络科技公司官网,分为导航,轮播,关于我们,成功案例,服务流程,团队介绍,数据部分,公司动态,底部信息等内容区块。网站整体采用CSSGrid布局,支持响应式,有流畅过渡和展现动画。
- 485次学习
-
- ChatExcel酷表
- ChatExcel酷表是由北京大学团队打造的Excel聊天机器人,用自然语言操控表格,简化数据处理,告别繁琐操作,提升工作效率!适用于学生、上班族及政府人员。
- 4474次使用
-
- Any绘本
- 探索Any绘本(anypicturebook.com/zh),一款开源免费的AI绘本创作工具,基于Google Gemini与Flux AI模型,让您轻松创作个性化绘本。适用于家庭、教育、创作等多种场景,零门槛,高自由度,技术透明,本地可控。
- 4819次使用
-
- 可赞AI
- 可赞AI,AI驱动的办公可视化智能工具,助您轻松实现文本与可视化元素高效转化。无论是智能文档生成、多格式文本解析,还是一键生成专业图表、脑图、知识卡片,可赞AI都能让信息处理更清晰高效。覆盖数据汇报、会议纪要、内容营销等全场景,大幅提升办公效率,降低专业门槛,是您提升工作效率的得力助手。
- 4703次使用
-
- 星月写作
- 星月写作是国内首款聚焦中文网络小说创作的AI辅助工具,解决网文作者从构思到变现的全流程痛点。AI扫榜、专属模板、全链路适配,助力新人快速上手,资深作者效率倍增。
- 6493次使用
-
- MagicLight
- MagicLight.ai是全球首款叙事驱动型AI动画视频创作平台,专注于解决从故事想法到完整动画的全流程痛点。它通过自研AI模型,保障角色、风格、场景高度一致性,让零动画经验者也能高效产出专业级叙事内容。广泛适用于独立创作者、动画工作室、教育机构及企业营销,助您轻松实现创意落地与商业化。
- 5069次使用
-
- GPT-4王者加冕!读图做题性能炸天,凭自己就能考上斯坦福
- 2023-04-25 501浏览
-
- 单块V100训练模型提速72倍!尤洋团队新成果获AAAI 2023杰出论文奖
- 2023-04-24 501浏览
-
- ChatGPT 真的会接管世界吗?
- 2023-04-13 501浏览
-
- VR的终极形态是「假眼」?Neuralink前联合创始人掏出新产品:科学之眼!
- 2023-04-30 501浏览
-
- 实现实时制造可视性优势有哪些?
- 2023-04-15 501浏览

